Calcific Tendonitis of the Shoulder

Overview
Calcific Tendonitis of the shoulder is a common but often misunderstood condition. It is a shoulder disorder that arises when calcium deposits form in the tendons of your shoulder. The tendons are hard, flexible bands of tissues that connect the muscles to the bones. These calcium deposits can cause significant pain and limit the range of motion in the shoulder. It typically affects adults aged 30-60 and is more common in women than men.
Types
Calcific tendonitis is generally classified into two types based on the nature of the calcium deposits:
1. Formative calcific tendonitis: It is the initial stage where the calcium deposits begin to form in the shoulder tendons.
2. Resorptive calcific tendonitis: In this stage, the body begins to naturally reabsorb the calcium deposits, a process that can cause considerable inflammation and pain.
Causes
The exact causes of calcific tendonitis remain unknown, but the process seems to be related to the aging process. One theory suggests that the tendons in your shoulder can weaken with age, potentially leading to microscopic tears that your body tries to repair by forming calcium deposits. Other risk factors may include metabolic diseases such as diabetes and thyroid disorders, and genetic predisposition.
Symptoms
Symptoms of calcific tendonitis can vary greatly, an affected individual may:
– Experience sudden onset of severe pain in the shoulder.
– Have shoulder stiffness.
– Feel pain that worsens with movement.
– Experience pain that radiates down the arm.
– Notice a decreased range of motion in the shoulder.
– Have pain at night and difficulty sleeping due to discomfort.
Diagnosis
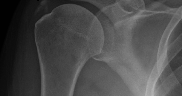
Diagnosing calcific tendonitis typically begins with a physical examination of the patient’s shoulder. Your doctor may palpate the shoulder to identify any areas of tenderness or inflammation. Imaging tests, such as X-rays, MRI scans, or ultrasound, may be performed to confirm the presence of calcium deposits in the tendons.
Treatment Options
Treatment of calcific tendonitis primarily focuses on relieving pain and restoring range of motion. Options include:
1. Conservative treatments: These include rest, ice applications, use of nonsteroidal anti-inflammatory drugs (NSAIDs) to reduce pain and inflammation, and physical therapy.
2. Needling: This procedure, guided by ultrasound, uses a large gauge needle to break up the calcium deposits.
3. Extracorporeal shock wave therapy: Acoustic waves are directed at the shoulder to break up the calcium deposit, promoting reabsorption and healing.
4. Surgical intervention: If conservative treatments fail, arthroscopic surgery may be recommended to remove the calcium deposits.
Living With Calcific Tendonitis of the Shoulder
Managing calcific tendonitis primarily involves balancing periods of rest with physical activity. Physical therapy exercises can help strengthen the shoulder muscles and improve range of motion. Over-the-counter pain relievers can be used to manage pain. Regular application of hot or cold packs may also provide relief. It’s also crucial to lead a healthy lifestyle; regular exercise, a balanced diet, and adequate rest can help manage symptoms and promote healing.
When to Seek Help
It’s important to seek immediate medical attention if you experience:
– Severe and persistent pain in your shoulder.
– Swelling or redness around the shoulder.
– Fever or other signs of infection.
– Difficulty moving the shoulder or a significant decrease in the range of motion.
Remember, early diagnosis and treatment can help manage symptoms and prevent further complications, improving your quality of life significantly.
