
Osteochondritis Dissecans of the Knee
Overview
Osteochondritis Dissecans (OCD) of the knee is a relatively rare but increasingly recognized condition that primarily affects the knee joint. It involves the loss of blood supply to a small segment of bone and cartilage inside the knee, leading that tiny portion to crack and eventually separate from its surrounding bone. It affects children and adolescents who are active in sports more commonly, but can also occur in adults. Understanding this condition can help you manage it effectively and maintain an active lifestyle.
Types
There are mainly two types of Osteochondritis Dissecans: Juvenile and Adult. Juvenile OCD occurs in children and adolescents whose bones are still growing, while Adult OCD typically affects those whose bones have stopped growing, generally observed in adults over the age of 20.
Causes
The exact cause of OCD remains unknown. However, it is thought to be due to a combination of genetic factors, repetitive trauma or stress to the knee joint, abnormalities in bone formation, and poor circulation. Participation in high-impact sports such as football, gymnastics, and basketball is often associated with a higher risk of developing OCD.
Symptoms
In the early stages, OCD may cause no symptoms. However, as the condition progresses, common symptoms may include:
– Pain and swelling in the knee
– Stiffness or decreased movement
– A feeling of the knee ‘giving way’
– Locking or catching of the knee
– Limping or difficulty walking
Less common symptoms may include rapid weight gain (if due to inactivity) or loss (due to pain and difficulty moving or exercising).
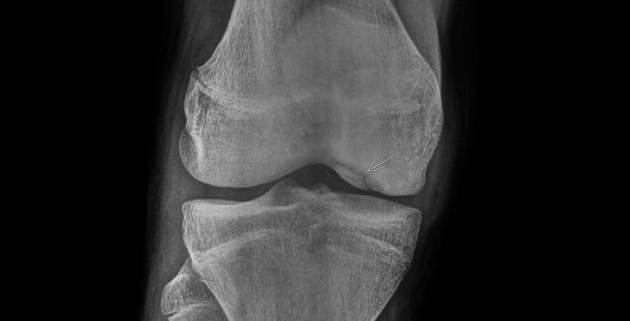
Diagnosis
OCD is typically diagnosed through a combination of a physical examination, medical history, and imaging tests. The doctor may check for tenderness, swelling, and range of motion. Imaging tests such as X-rays, MRI, or CT scan provide detailed images of the knee and can help identify any damage or abnormality.
Treatment Options
The treatment for OCD depends on the severity of the condition and the patient’s age.
– Conservative Treatment: In less severe cases or in children whose bones are still growing, non-surgical options may be recommended. These can include rest, activity modification, physical therapy and use of crutches.
– Surgical Treatment: If the bone fragment is loose and causing pain or if non-surgical methods fail, then surgical intervention may be necessary. Types of surgery may include drilling small holes in the affected area to stimulate new blood flow, reattaching the loose fragment, or grafting new bone and cartilage.
Living With Osteochondritis Dissecans of the Knee
Living with OCD requires a combination of medical management, lifestyle modifications and coping strategies.
- Medication Management: Over-the-counter pain relievers such as ibuprofen can help manage pain and reduce inflammation.
– Lifestyle Changes: It’s crucial to maintain a healthy weight and stay active. However, high-impact sports and activities may need to be limited or adapted to prevent further damage.
– Coping Strategies: Consider using supportive devices such as knee braces. Regular physical therapy and exercises can strengthen the muscles around the knee, improve flexibility and decrease pain.
When to Seek Help
Seek help immediately if you’re experiencing severe knee pain, if your knee locks or gives way, if you can’t bear weight on your knee or if the swelling doesn’t reduce after a few days of rest and icing. Early diagnosis and treatment can help preserve the health of your knee and keep you active.
Remember, you’re not alone, and help is available for dealing with this condition. Don’t hesitate to reach out to medical professionals and support groups for advice and assistance as you navigate this journey.
