Osteochondritis Dissecans of the Talus

Overview
Osteochondritis Dissecans of the Talus (ODT) is a joint condition in which bone and the attached cartilage lose their blood supply and deteriorate, leading to small fragments detaching from the surrounding bone tissue. Typically, it affects the talus, the small bone in the ankle that helps transfer weight and pressure across your lower extremities. The condition may cause pain, swelling and often affects mobility. Although it’s relatively rare, ODT can affect people of all ages, though it’s more commonly seen amongst adolescents and young adults involved in high-impact sports.
Types
There are mainly two types of Osteochondritis Dissecans – juvenile and adult. The juvenile form occurs in children and adolescents whose bones are still growing, while the adult form strikes after the bones have stopped growing. The juvenile form often heals by itself, whereas the adult form usually requires medical or surgical intervention.
Causes
The exact cause of ODT is still unknown, however, certain factors are believed to contribute to the development of this condition:
-
- Repeated trauma or injury to the joint: This is often observed in athletes or individuals performing high-impact activities.
-
- Genetics: A family history of ODT could increase your risk of developing the condition.
-
- Abnormal bone development: Issues with bone formation can potentially lead to ODT.
Symptoms
The symptoms of Osteochondritis Dissecans of the Talus can vary greatly from individual to individual. Common symptoms include:
-
- Pain and swelling in the ankle, especially after activity.
-
- Difficulty moving or bearing weight on the affected ankle.
-
- A sensation of the ankle ‘locking’ or ‘giving way.’
-
- An audible clicking or crunching sound when moving the ankle.
Diagnosis
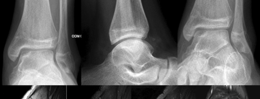
Diagnosis of ODT typically starts with a thorough physical examination by a healthcare professional. Your doctor will check your range of motion, level of discomfort, and signs of swelling. If ODT is suspected, imaging tests like X-rays, MRI, or CT scans may be ordered to confirm the diagnosis.
Treatment Options
Treatment for Osteochondritis Dissecans of the Talus can be conservative (non-surgical) or surgical, depending upon the severity of your condition.
Conservative treatments include:
-
- Rest and restriction of physical activities: This includes avoiding high impact sports or any activities that put pressure on the ankle.
-
- Physical therapy: Specific exercises can help strengthen the muscles around your ankle, improving stability and reducing pain.
-
- Medications: Pain relievers and nonsteroidal anti-inflammatory drugs (NSAIDs) can help to manage the pain and swelling.
In more serious or advanced cases, surgical treatment might be necessary. This could include procedures focused on removing loose fragments, promoting new cartilage growth, or grafting new bone and cartilage into the affected areas.
Living With Osteochondritis Dissecans of the Talus
Living with ODT can present unique challenges. However, with proper management and care, individuals can lead a normal life. Here are a few practical tips:
-
- Follow your medical team’s advice: This includes medication management, regular check-ups, and adhering to your treatment plan.
-
- Stay active: Participate in low-impact exercises like swimming or cycling to maintain range of motion and overall health.
-
- Manage your weight: Maintaining a healthy weight can reduce the stress on your joints.
-
- Mental health: Seek help if you’re finding it tough to cope. Support groups, counseling or medications can offer help.
When to Seek Help
It’s crucial to seek medical attention if you’re experiencing persistent pain, swelling, or difficulty moving your ankle. These could be signs of Osteochondritis Dissecans of the Talus or other serious conditions. Never delay seeking help as it could result in permanent damage and increase the chances of developing arthritis later in life.
