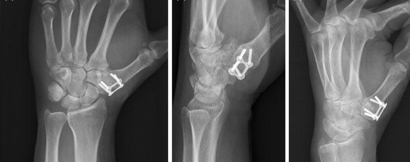
Thumb Fusion Surgery
![]()
Overview
Thumb fusion surgery, also known as arthrodesis, is a procedure commonly used to treat severe, end-stage arthritis in the thumb. This surgery aims to eliminate the source of pain and restore function in the thumb by permanently fusing the bones in the thumb joint.
While this procedure may limit certain range of motions, it dramatically enhances the quality of life by alleviating the debilitating thumb pain associated with arthritis.
Types
There are no different types of thumb fusion surgery, but the specifics of the procedure may vary based on the patient’s circumstance and their surgeon’s preferred technique.
Causes
The most common reason people undergo thumb fusion surgery is due to osteoarthritis or rheumatoid arthritis in the thumb. Other conditions like a severe thumb injury, joint instability or deformity, previously unsuccessful surgeries, or post-traumatic arthritis can also lead to a need for this surgery.
Symptoms
The symptoms leading to thumb fusion surgery may vary but often include:
* Persistent thumb pain that limits daily activities
* Pain that continues despite non-surgical treatment
* Thumb weakness
* Difficulty in pinching or gripping objects
* Swelling, redness and tenderness around the thumb joint
Diagnosis
The diagnosis process typically involves a physical examination, discussion of symptoms and medical history. In most cases, diagnosis is confirmed via imaging tests like X-ray or MRI, which reveal the extent of damage to the thumb joint.
Treatment Options
Before resorting to thumb fusion surgery, conservative non-surgical treatments are usually attempted. These include:
* Pain Medicines: Over-the-counter or prescription medications may provide some relief.
* Thumb Splints: These restrict thumb movement and helps reduce inflammation.
* Corticosteroid Injections: Used to help reduce inflammation and pain.
If these treatments don’t work or the arthritis is too severe, thumb fusion surgery may be recommended.
Living With Thumb Fusion Surgery
After surgery, expect to:
* Wear a cast or splint for 6 to 12 weeks as the thumb heals
* Engage in hand therapy once the splint is off to regain strength and function
* Modify certain daily activities to compensate for the change in thumb mobility
Adherence to pain medication schedules and physical therapy routines is crucial to speedy recovery and maximizing the benefits of surgery.
When to Seek Help
After thumb fusion surgery, seek immediate medical attention if you are experiencing:
* Excessive pain or swelling
* Signs of infection such as fever, redness or discharge from the surgical wound
* Loss of sensation, numbness or tingling in the thumb or hand
thumb fusion surgery is a reliable method for managing extreme cases of thumb arthritis. While the prospect of surgery may seem daunting, patients should understand that this procedure aims to improve their quality of life. Proper education and open discussions with healthcare providers can ensure that patients have realistic expectations regarding the hold ups, limitations and benefits of thumb fusion surgery.
